Smile Makeover in Cedar City, UT
A Brighter, More Confident Smile
- One plan that tackles chips, gaps, and stains
- Preview your new smile before you start
- Comfort-first care with sedation available
- 600+ 5-Star Reviews
A Smile Makeover You Can Feel Confident About
Experience Renewed Confidence

Dr. Brian K. Tavoian has been helping patients improve their smiles since 1992. That experience matters when your makeover involves multiple steps and details. You can expect straightforward recommendations and a plan built around what looks natural.
Preview Your Smile Before Committing

Planning is everything in cosmetic dentistry. With digital impressions and 3D smile previews, you can get a clearer idea of what your results may look like before treatment begins. It is a more precise, more predictable way to plan changes.
Comfort-First Care for Anxious Patients

If dental visits make you nervous, you are not alone. Our Cedar City, UT, office offers sedation options to help you stay relaxed and comfortable throughout your appointments. We keep the pace patient-friendly and explain what to expect at every step.
What Our Patients Are Saying
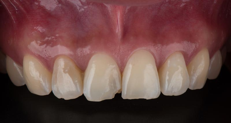
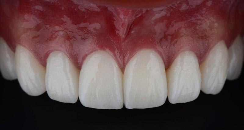
See What a Smile Makeover Can Do
Patients who undergo a smile makeover treatment often have a combination of dental imperfections. A fully customized smile makeover can transform the appearance of your teeth, giving you a straighter, whiter, more symmetrical smile.


Benefits of a Smile Makeover
Improved Appearance
Improving the appearance of your smile can do wonders for your self-confidence. Following treatment, you may no longer feel the need to hide your teeth, allowing you to smile with confidence.
Customizable Treatment
A smile makeover can consist of many different procedures to address a variety of cosmetic concerns. Your dentist in Cedar City, UT, can customize treatment to fit your goals, as well as your budget.
Is a Smile Makeover Right for You?
A smile makeover is ideal when you want to improve multiple cosmetic concerns at once with a coordinated plan, not one-off fixes.
Good candidates often want to correct:
• Chips or worn edges
• Stains that do not lift with whitening
• Small gaps or uneven spacing
• Uneven gumline or a gummy smile
• Old dental work that stands out

A Healthy Foundation Comes First
If you have active decay, gum disease, or missing teeth, we can recommend the right restorative care first, then move forward with cosmetic improvements once your mouth is stable.
Enhance Your Smile With a Smile Makeover Call Us Today!
Dr. Brian K. Tavoian started practicing as a dentist in 1992 and has been providing his patients with stunning results and improved oral health ever since. He can help you achieve and maintain a beautiful smile with cosmetic and general dentistry.
A smile makeover is a cosmetic procedure that can vastly improve the appearance of your smile. If you have good oral health but are concerned about cosmetic issues such as chips, gaps, or discoloration, you could benefit from treatment. We invite you to fill out our contact form or call our Cedar City location today:

Hear From Our Happy Cedar City Patients
Dr. Tavoian and his team always go above and beyond! I usually hate going to the dentist, not here though! I drive from Hurricane. I could go somewhere closer, but why?! These guys are awesome and you will not be disappointed!
View on GoogleDr. Tavoian is one of the finest dentists I have ever known. And I've known hundreds. His work is top-notch, his chairside manner is frank and honest. Plus, he has a great personality! His office help have been with him for years and that should tell you everything you need to know. If you're looking for a dentist, call Tavoian Family Dentistry.
View on GoogleSmile Makeover Treatments
At Brian K. Tavoian Family Dentistry in Cedar City, our cosmetic dentist tailors your smile makeover based on your unique dental needs and cosmetic goals. Treatments that can be performed in a smile makeover include:
Veneers
Veneers Porcelain veneers are thin porcelain shells that are bonded to the front of the tooth to conceal cracks, chips, or severe discoloration that does not respond to teeth whitening. Our practice also offers Lumineers®, a thinner alternative to veneers that can often be placed without removing any enamel.
Do You Have Dental Anxiety? We Make Treatment Comfortable
Our Cedar City, UT, dentistry practice offers sedation options like nitrous oxide, oral conscious sedation, and IV sedation to ensure patients are completely comfortable throughout treatment. If you have a fear of dental procedures, a sensitive gag reflex, or difficulty sitting still for long periods, our dentist can help you explore sedation options. Your smile makeover may take more than one appointment, but we will always work to make sure you're relaxed and have every reason to return to our practice.
What to Expect Before Your Smile Makeover
The timeline for treatment will vary for each patient based on their personal needs, budget, and goals.
Understanding Costs and Financing
How much does a smile makeover cost?
Smile makeovers are completely customized to each patient's dental needs and cosmetic goals, so it's impossible to estimate the cost of your treatment without first seeing your dentist. Following your consultation, Dr. Tavoian will develop a plan and our office will be able to give you an estimate.
Does insurance cover a smile makeover?
Because a smile makeover is considered cosmetic dentistry, insurance providers will not contribute to the cost of treatment; however, we accept CareCredit® financing to ensure dental care is affordable and accessible to all of our patients.
We Offer Restorative Treatments TO IMPROVE CANDIDACY FOR A SMILE MAKEOVER
Cosmetic dentistry treatments used in a smile makeover focus on improving the appearance of your smile, but your mouth must first be healthy enough to undergo cosmetic treatment. If you suffer from functional problems like missing teeth or significant decay, restorative treatment like dental implants or a root canal can improve your candidacy for cosmetic dental work. Restorative treatments we offer include:
Smile Makeover FAQs
How long does a smile makeover take?
It depends on which treatments are included. Whitening and bonding may be completed in fewer visits, while veneers or crowns can take longer because they require planning, impressions, and crafting your restorations. We will outline your expected timeline at your consultation.
Will my results look natural?
That is the goal. A smile makeover should enhance your smile without looking overdone. We plan your treatment around your face, tooth shape, and bite so your results fit you, not a template. You will also have the chance to preview your smile plan before moving forward.
Does a smile makeover hurt?
Most cosmetic treatments are very comfortable. If you are nervous about dental work, our Cedar City dentist provides sedation options to help you stay relaxed during treatment. We also explain each step ahead of time so there are no surprises.
How long will results last?
Longevity varies by treatment and habits. Good daily home care, regular cleanings, and avoiding stain-causing habits can help you maintain results longer. We will also recommend the best ways to protect your investment, especially if you grind your teeth.
What Our Patients Say About Our Dental Practice Our Five-Star Reviews
My experience was professional and was a wonderful vist by all that worked there. Thank you.
View on GoogleFriendly staff, quality dental work, experienced dentist who is compassionate and professional
View on Google










